![]() |
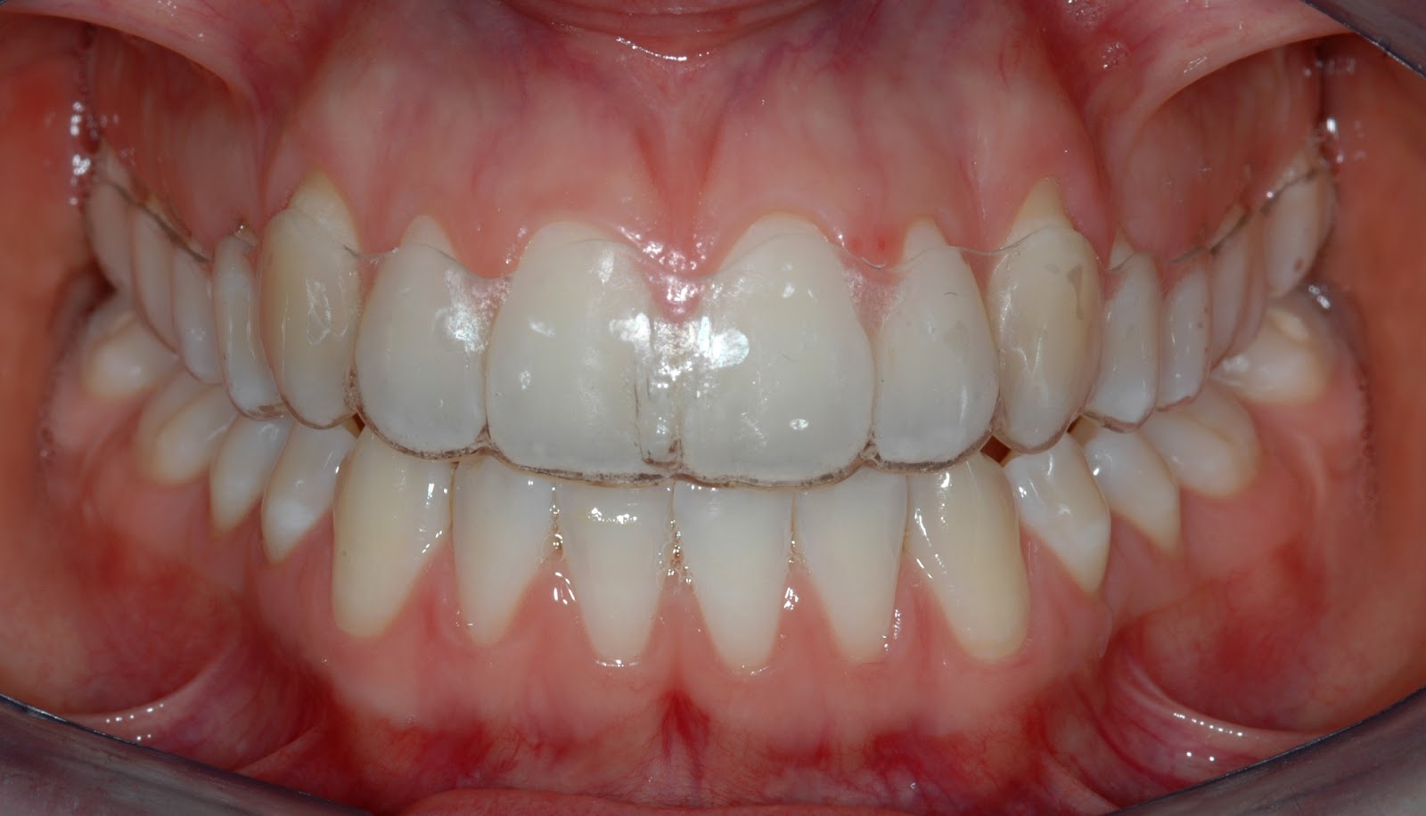
| Arco dentário com alinhador em placa transparente! |
Alinhador transparente funciona?
O primeiro tratamento ortodôntico na história foi descrito
pelo enciclopedista romano Celso (25 aC – 50 dC). Em 30 dC, relatou o
alinhamento de um incisivo central superior no arco dentário de um menino, pela
pressão continuada e repetitiva dos dedos, provavelmente de sua mãe. O primeiro
aparelho foi descrito em 1728 pelo francês Pierre Fauchard.
Os alinhadores dentários transparentes representam uma forma
bem suave e discreta para alinhar os dentes discretamente deslocados no arco
dentário, sem interferir muito no visual facial. Estes pequenos deslocamentos
dentários nem sempre interferem na oclusão e nem tanto na estética. Peças
publicitárias dizem que o “alinhador transparente é um aparelho ortodôntico
substituto do tradicional braquete!”. A maioria dos problemas ortodônticos não
são resolvidos desta forma, apenas os desalinhamentos no contexto do arco
dentário. Os alinhadores transparentes se encaixam aos dentes externamente como
uma placa acrílica ou de plástico. Eles têm limitações de indicação e aplicações
que, nem sempre são respeitadas, mas podem ser considerados procedimentos
ortodônticos.
Molda-se ou escaneia a boca do paciente e envia para a
empresa. Por um programa/software, ela fabrica placas sequenciais para um
deslocamento gradual do dente. Em uma das faces onde se encaixa o dente, o
material do alinhador é “aumentado” para empurrar o dente para o local
desejado. A cada placa se desloca um pouco mais o material, forçando o dente
chegar onde se quer! O software/ortodontista que recebeu o modelo ou as imagens
3D do paciente, calcula o quanto adiciona de deslocamento de material a cada
placa sequencial e as enviam para o ortodontista clínico aplicar no paciente.
Ganha o profissional que molda ou escaneia, a empresa e o
paciente, se satisfeito. O planejamento não é feito diretamente pelo
ortodontista, mas sim pela empresa via software/ortodontista. A maior crítica
que os sistemas de alinhadores recebem, é que não corrigem todos os casos e não
entregam o que prometem, pois é comum a indicação não ser adequada. Algumas
empresas se abstém de confeccionar alinhadores para situações clínicas
equivocadas enviadas por profissionais menos informados. Os alinhadores
transparentes não servem para substituir os aparelhos ortodônticos, mas para
corrigir casos específicos e de pequenas dimensões.
QUESTIONAMENTOS
Um profissional que aplica alinhadores em placas
transparentes deve ter a capacidade precisa para indicar bem esta técnica, pois
no final do processo pode não atender às expectativas iniciais do paciente, mas
algumas perguntas inquietam:
1) Se o planejamento é feito pela empresa para a
qual o profissional da odontologia captura as imagens no escaneamento ou nas
moldagens, um ortodontista especialista seria mesmo necessário?
2) Não se
poderia capturar os pacientes na internet, shopping center, parques, lojas e
quiosques, em que a captura de imagens dos dentes seria feita por funcionários
treinados? Os alinhadores seriam, depois, entregues aos clientes em casa ou na
loja, sem intermediação do ortodontista!
REALIDADE
Exatamente isto ocorre nos EUA: a empresa SmileDirectClub
abriu mão dos ortodontistas e envia os alinhadores diretamente aos pacientes
pelo correio, barateando o custo final. Os kits para o registro de imagens e
impressões de pacientes são vendidos em lojas famosas e redes de farmácias. A
SmileDirectClub tem participação acionária da Align Technology, dona da
Invisalign, a marca mais famosa.
E agora? Deixemos isto por conta do mercado sem a
participação de ortodontistas e sem regulação e fiscalização dos Conselhos? A
dermatologia convive com empresas e profissionais não médicos que oferecem
serviços e produtos sem interferência. Deveríamos ser assim com os alinhadores
e clareadores?
POR FIM
Alinhadores transparentes funcionam, desde que muito bem
indicados e utilizados de forma adequada pelos pacientes, o que representa uma
pequena parte dos que os utilizam, segundo especialistas ouvidos. Os pacientes
devem estar muito bem esclarecidos sobre estas limitações para o bem da ciência
e arte!
Alberto Consolaro – Professor Titular da USP - FOB Bauru-SP - consolaro@uol.com.br
Observatório
Gêmeos – Dois astronautas gêmeos estadunidenses foram
analisados na Nasa. Um passou o ano inteiro na Estação Espacial Internacional,
enquanto o outro levava vida normal por aqui. Houveram pequenas diferenças:
redução da massa corpórea, distensão da carótida, alteração da estrutura
ocular, mudanças das colônias bacterianas, alteração biomolecular da ativação e
desativação de genes. As mudanças foram revertidas assim que o astronauta
voltou. Publicados na Science, os dados ajudarão no planejamento de novas
missões.
Perigoso! – Um novo fungo, o “Candida auris”, se espalha
silenciosamente nos pacientes debilitados em 20 países. Acabou com um hospital
na Espanha, suspendeu as operações de uma UTI na Inglaterra e se disseminou na
Índia, Paquistão, África do Sul e Venezuela. Ao chegar em Nova York, foi
incluído na lista de ameaças urgentes, onde para eliminar o fungo do hospital
depois da morte do paciente contaminado, precisou-se arrancar placas do teto e
lajotas do piso, além de usar equipamentos especiais de limpeza. Ainda não
chegou ao Brasil!
FRACASSO DE ISRAEL NA LUA !
Terminou com insucesso total a tentativa privada de Israel
pousar na Lua nesta quinta feira. O módulo “Beresheet” caiu em queda livre no
solo lunar quando o motor principal falhou e se desligou a 149 metros de altura. A empresa lamentou ,
mas valorizou a tentativa, ainda que fracassada!



Nenhum comentário:
Postar um comentário